Em 2000, quando um menino nasceu em uma maternidade em Berlim, a equipe notou imediatamente que o menino era diferente. Seus músculos eram bem desenvolvidos para sua idade. O fenômeno é o primeiro a registrar uma mutação genética muito...
Todos nós temos nossas próprias lutas na vida. A falta de sono é uma das coisas relacionadas ao estresse que enfrentamos todos os dias, juntamente com rotinas diárias e mudanças de humor. Segundo as estatísticas, cerca de 70 milhões...
Os cientistas estão começando a entender os tardígrados. Esse organismo pode sobreviver sendo fervido em água, jogado no espaço ou frito na radiação. Além disso, esta coisinha de aparência engraçada não morrerá mesmo que fique sem comida ou água...
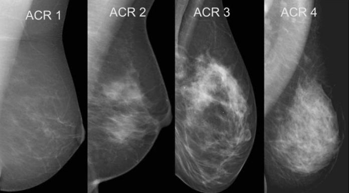
Exame de tomossíntese se mostra o mais eficiente para diagnosticar câncer de mama
Cientistas criaram ratos saudáveis a partir de dois machos
Através dessa técnica, que ainda está em seu estágio inicial, cientistas conseguiram filhotes de ratos provenientes de dois machos.
Normalmente, quando pensamos em reprodução animal, seja ela humana ou não, associamos com...
A emoção de resolver quebra-cabeças estimulará o cérebro a melhorar a velocidade de processamento, as habilidades de tomada de decisão e também a memória.
Teste desafiador que só mestres da lógica pode resolver: Quem...
Quando falamos de pessoas tóxicas automaticamente vem à nossa mente a negatividade, pessoas que sugam nossa energia com coisas ruins. Mas o que muitos não entendem muito bem é que por trás de pessoas positivas também pode haver toxicidade....
Você já imaginou adquirir câncer por causa da poluição do ar? Pois bem, parece que isso já está acontecendo. Cientistas britânicos descobriram um novo mecanismo biológico que, devido à poluição do ar, pode causar câncer de pulmão mesmo em...
Você já ouviu falar em Schadenfreude? Nada mais é que a experiência de prazer com os infortúnios dos outros. É, infelizmente, uma sensação bastante comum. Mas se você já se sentiu culpado pela satisfação que teve quando alguém estragou...
Mais de uma dúzia de pacientes com câncer de intestino nos Estados Unidos viram a doença desaparecer após passar por imunoterapia experimental, no que os médicos descrevem como um resultado surpreendente. A droga experimental é chamada de dostarlimab.
Os detalhes do...












