A importância de permitir que as crianças tomem decisões
A personalidade de cada indivíduo se consolida em uma das fases mais importantes da vida: a infância.
A forma como percebemos o mundo e...
Você consegue identificar o dono do iate? Apenas 5% conseguiram resolver esse quebra-cabeça...
Encontre o dono do iate e resolva este desafio viral! Este desafio testará suas habilidades de concentração e observação. Encontre o dono do iate para resolver este...
Teste visual: quantos animais você vê na imagem? Só quem tem QI alto consegue...
Você também pode desafiar sua inteligência com uma imagem como no caso do teste visual a seguir que, focando na arte estratégica da camuflagem, esconde um grande...
A primeira coisa que você enxergar nesta imagem pode dizer muito sobre sua mente
Durante os últimos meses , os quebra- cabeças lógicos ganharam muita popularidade entre os milhares de usuários da Internet no Facebook . No entanto, há também outros...
Estamos criando uma geração de robôs autômatos – Mario Sergio Cortella
A família precisa evitar ser geradora contínua de consumismos, impedindo que a criança ou o jovem exija um tênis que custa o preço de dois pneus de um carro,...
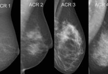
Exame de tomossíntese se mostra o mais eficiente para diagnosticar câncer de mama
Exame de tomossíntese se mostra o mais eficiente para diagnosticar câncer de mama








